-
Lunes, 11 de abril de 2011
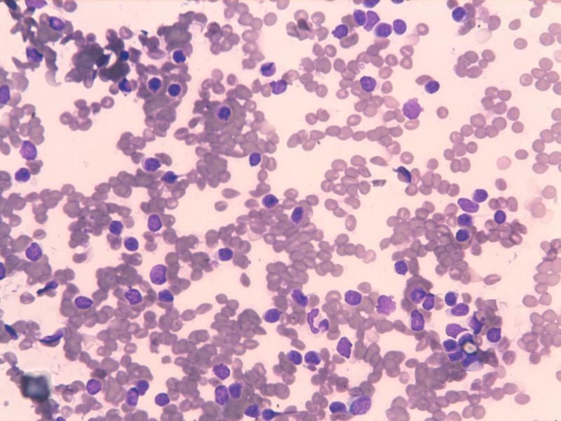
Significado de la presencia de linfocitos en el análisis citológico de la punción transbronquial aspirativa
La presencia de linfocitos sin atipias en la muestra de punción transbronquial aspirativa (PTA) de adenopatías mediastínicas (AM) de pacientes con sospecha de cáncer de pulmón no excluye la invasión neoplásica del ganglio analizado. Esta es la conclusión a la que llega el trabajo realizado por la doctora Carmen Mª Lucena, y los doctores Carlos Agustí, Pilar Martínez-Olondris, Esteban Cano-Jiménez, Ramón Mª Marrades, Josep Ramírez, Marcelo Sánchez, Pedro Arguis y Antoni Xaubet, del Hospital Clínic; los tres primeros investigadores del grupo de investigación aplicada de enfermedades respiratorias (IAMR).
El objetivo de este estudio, retrospectivo y observacional, consistía en analizar el significado de la presencia de linfocitos en las muestras de PTA de AM en pacientes con sospecha de cáncer de pulmón. Para ello se realizaron 266 PTA a 252 pacientes. En 115 PTA se evidenció la presencia de metástasis ganglionares (43%) y 94 (35%) fueron consideradas como no valorables (ausencia de material citológico evaluable o presencia exclusiva de células epiteliales bronquiales). De las 57 restantes que contenían linfocitos sin atipias (21%); se pudo confirmar el diagnóstico con técnicas alternativas en 32 y en 10 mediante seguimiento clínico-radiológico. El valor predictivo negativo de las 32 muestras confirmadas fue del 84% y descendió al 76% cuando se incluyeron las 10 PTA de las que se disponía de seguimiento clínico-radiológico. Este trabajo ha sido publicado online el 1 de febrero de 2011 en la revista científica Archivos de Bronconeumología.
Enlaces relacionados



