-
Dilluns, 11 d'abril de 2011
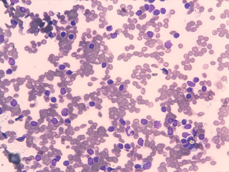
Significat de la presència de limfòcits en l'anàlisi citològica de la punció transbronquial aspirativa
La presència de limfòcits sense atipies en la mostra de punció transbronquial aspirativa (PTA) d'adenopaties mediastíniques (AM) de pacients amb sospita de càncer de pulmó no exclou la invasió neoplàsica del gangli analitzat. Aquesta és la conclusió a la qual arriba el treball realitzat per la doctora Carmen Mª Lucena, i els doctors Carlos Agustí i Pilar Martínez-Olondris, del grup d'Investigació Aplicada de Malalties Respiratòries (IAMR) i els doctors Esteban Cano-Jiménez, Ramón Mª Marrades, Josep Ramírez, Marcelo Sánchez, Pedro Arguis i Antoni Xaubet de l'Hospital Clínic.
L'objectiu d'aquest estudi, retrospectiu i observacional, consistia a analitzar el significat de la presència de limfòcits en les mostres de PTA d'AM en pacients amb sospita de càncer de pulmó. Per a això es van realitzar 266 PTA a 252 pacients. En 115 PTA es va evidenciar la presència de metàstasis ganglionars (43%) i 94 (35%) van ser considerades com a no valorables (absència de material citològic avaluable o presència exclusiva de cèl•lules epitelials bronquials). De les 57 restants que contenien limfòcits sense atipias (21%), es va poder confirmar el diagnòstic amb tècniques alternatives en 32 i en 10 mitjançant seguiment clinicoradiològic. El valor predictiu negatiu de les 32 mostres confirmades va ser del 84% i va descendir al 76% quan es van incloure les 10 PTA, de les quals es disposava de seguiment clinicoradiològic. Aquest treball va ser publicat a la xarxa l'1 de febrer de 2011, a la revista científica Archivos de Bronconeumología.
Enllaços relacionats



