-
Monday, 04/11/2011
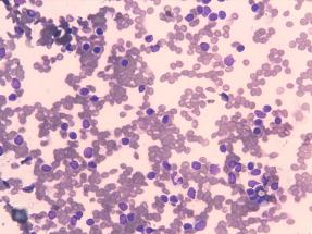
Significance of the Presence of Lymphocytes in the Cytological Analysis of Transbronchial Needle Aspiration
The presence of lymphocytes in the transbronchial needle aspiration (TBNA) sample does not exclude the neoplasic invasión of the specific lymph node analyzed. This is the conclusion reached in the trial that has been carried out by Dr. Carmen Mª Lucena, Dr. Carlos Agustí, Dr. Pilar Martínez-Olondris (members of the Applied Research in Respiratory Diseases group) and Dr. Esteban Cano-Jiménez, Dr. Ramón Mª Marrades, Dr. Josep Ramírez, Dr. Marcelo Sánchez, Dr. Pedro Arguis and Dr. Antoni Xaubet, from Hospital Clínic.
-
Wednesday, 03/23/2011
IAMR group incorporates a research physician from Brazil in the line of clinical and experimental VAP
This fellow comes from the University of São Paulo to get experience in research
The latest incorporation at the research group is Otavio Tavares Ranzani, who has a Degree in Medicine at the University of São Paulo. He has completed his specialization on Internal Medicine at the Hospital das Clínicas, a hospital complex associated with the Faculty of Medicine of University of São Paulo. He currently works as a research physician in Pulmonary and Critical Care issues at the Respiratory ICU in the same university. In our group, he has been helping in the research of ventilator-associated pneumonia (VAP) and in the animal experimental model line.
-
Friday, 03/18/2011
A recent study compares simple, difficult and prolonged weaning in ICU patients
The manuscript has been published in the Intensive Care Medicine journal and has been reviewed by an editorial
The International Consensus Conference classified weaning into simple, difficult, and prolonged but its usefulness in a respiratory intensive care unit (ICU) had not yet been proved. From the 4th of March the study: “Predictors of prolonged weaning and survival during ventilator weaning in a respiratory ICU” is available online. This study aimed to compare the clinical characteristics and outcomes of patients from the three weaning groups and to assess predictors for prolonged weaning and survival.
-
Thursday, 03/03/2011
Key features of clinical presentation of patients with novel H1N1 associated pneumonia compared to seasonal influenza pneumonia
This collaborative study was published last 25th of November in the European Respiratory Journal
A recent study of Dr. Raul Riquelme, from the University of San Sebastian and the Puerto Mont Hospital in Chile, and Dr. Antonio Torres, Chief of Intensive Care Unit of Respiratory (UVIR) in the Hospital Clinic and group leader of the Applied Research in Respiratory Diseases (IAMR) team of the IDIBAPS, has investigated patients with influenza A (H1N1) and seasonal influenza pneumonia. Data of clinical presentation, complications and outcomes have been comparatively analysed in the two groups of patients.
-
Wednesday, 02/09/2011
Distribution of aetiologies according to severity scores revealed corresponding patterns in Community Acquired Pneumonia patients
Reveals the latest study on aetiology of Community Acquired Pneumonia that has been published in Thorax
This is the first study on aetiology of Community Acquired Pneumonia (CAP) by severity scores and gives an important perspective of what microorganisms are correspond to each severity class in the last 12 years, in a population of 3.523 CAP patients. The present work has been carried out by the doctoral researcher Catia Cilloniz and it is part of her doctoral thesis, directed by Prof. Torres.
-
Friday, 01/21/2011
IAMR group incorporates a respiratory physician for the line of VAP and the animal model
This fellow comes from the University of Milan to get experience in research
The latest incorporation at the research group is Valeria Giunta, who has a Degree in Medicine at the University of Milano. At the moment she is attending the specialization in the respiratory area at the University of Milan. Her role in our group will consist of helping in the ventilator associated pneumonia line of research, and in the animal experimental model line as well.
-
Friday, 01/14/2011
Non-invasive ventilation project led by Dr. Miquel Ferrer awards the 2010 Lilly Prize
The study has been published in The Lancet and proofs that correct application of non-invasive ventilation after extubation increases survival of critical chronic respiratory patients in 20%
The article Non-invasive ventilation after extubation in hypercapnic patients with chronic respiratory disorders: randomised controlled trial, written by Drs. Miquel Ferrer, Jacobo Sellarés, Maurici València, Andrés Carrillo, Gumersindo González, Joan Ramón Badía, Josep María Nicolás and Antoni Torres has been awarded the Lilly 2010 Prize by Sociedad Española de Medicina Intensiva, Crítica y Unidades Coronarias (SEMICYUC). Such a prize awards the best clinical research project that was carried out in Spain during 2009. The result was published on December the 22th.
-
Tuesday, 01/04/2011
The new European Grace Intro trial keeps on combating antimicrobial resistance
An online training package will help GPs improve both their communications skills towards patients and the use of an ambulatory device for detection of C-reactive protein.
The GRACE Intro (Internet Training for Reducing Antibiotic Use) trial has already started. This clinical trial has been promoted by Southampton University and it happens to be a highly comprehensive trial, including 8 participating networks from the UK, Spain, Belgium, Holland and Poland.
-
Tuesday, 12/14/2010
Hospital Clinic of Barcelona enrolls first patient into the Gravity-VAP trial
The Gravity-VAP trial is a prospective, randomized multi-center trial the aim of which is to reduce the incidence of Ventilation-Associated Pneumonia (VAP). The study has been designed by researchers from the Gravity-VAP Network.
In early December Hospital Clinic of Barcelona, Spain, enrolled the very first patient into the Gravity-VAP Trial. The trial focuses on the effects on incidence of VAP of maintaining critically ill, tracheally intubated patients in lateral- Trendelenburg position vs. standard semi-recumbent position. The aim is to reduce the incidence of VAP in mechanically-ventilated patients intubated for more than 48 hours.
-
Tuesday, 11/23/2010
IAMR group incorporates a respiratory physiotherapist for the line of bronchiectasis
The new line has the support of the industry and is coordinated by Dr. Polverino
The latest incorporation at the research group is Beatriz Herrero Cortina, who has a Diploma in Physiotherapy and a specialization in the respiratory area. Her role in our group is starting a research project on a frequent but underestimated disease, bronchiectasis, both from the epidemiological and clinical point of view.





